Una vacuna podría favorecer la adquisición de inmunidad natural contra la malaria
La vacuna RTS,S de la malaria podría favorecer la producción de una serie de anticuerpos protectores tras infección por el parásito, según un estudio liderado por el Instituto de Salud Global de Barcelona. Los resultados, publicados en BMC Medicine, identifican qué antígenos (o fragmentos proteicos) podrían incluirse en el diseño de futuras vacunas multivalentes, más eficaces.

La inmunidad contra un patógeno puede adquirirse de manera natural (es decir, tras la exposición natural al mismo) o gracias a una vacuna. En ocasiones, los mecanismos tras estos dos tipos de inmunidad no son los mismos, particularmente en el caso de parásitos con ciclos de vida complejos, como Plasmodium falciparum, el parásito que causa la malaria.
El equipo de Carlota Dobaño, investigadora del Instituto de Salud Global de Barcelona (ISGlobal), lleva varios años estudiando la respuesta inmune inducida por la RTS,S, la vacuna más avanzada contra la malaria que se implementará este año a gran escala en África subsahariana.
En este estudio quisieron evaluar cómo afecta la vacunación a la inmunidad natural adquirida posteriormente contra el parásito. “Hasta ahora, la gran mayoría de los estudios de la RTS,S se han concentrado en evaluar respuestas específicas de la vacuna, y no en evaluar su influencia sobre respuestas hacia otros antígenos del parásito”, explica Gemma Moncunill, última autora del estudio. La vacuna RTS,S solo contiene un antígeno del parásito: un fragmento de la proteína CSP.
El equipo investigador analizó muestras de suero obtenidas de un total de 195 niñas y niños, vacunados o controles
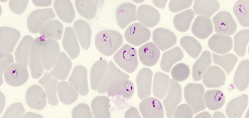
El equipo investigador analizó muestras de suero obtenidas de un total de 195 niñas y niños, vacunados o controles, que participaron en la fase 3 del ensayo clínico de la RTS,S y a los que siguieron durante 12 meses. De ellos, 78 eran de Kintampo, Ghana, una zona con elevada transmisión de malaria, y 115 eran de Manhiça, Mozambique, donde la transmisión es baja a moderada.
Los expertos estudiaron los niveles y tipo de anticuerpos dirigidos contra un total de 38 fragmentos proteicos (o antígenos) de P. falciparum, incluyendo la proteína CSP, antes y después de la vacunación.
Encontraron tres perfiles de respuestas de anticuerpos frente a estos antígenos: los que disminuyen tras la vacunación, los que no cambian, y los que aumentan. Los del primer grupo en general son marcadores de exposición al parásito y estaban asociados a un mayor riesgo de contraer malaria.
Los del tercer grupo se asociaron a una mayor protección –redujeron a la mitad el riesgo de contraer malaria–. Estos anticuerpos protectores reconocen mayoritariamente a antígenos expresados por las fases del parásito que circulan en la sangre y que infectan a los glóbulos rojos.
“Pensamos que la eficacia parcial de la RTS,S permite que, cuando hay exposición posterior al parásito, el nivel de la infección sea suficientemente bajo para favorecer la producción de estos anticuerpos protectores”, explica Carlota Dobaño. “Este efecto se apreciaría sobre todo en regiones con niveles moderados de transmisión”, añade. De manera importante, estos resultados indican que los antígenos en cuestión podrían incluirse en futuras vacunas multivalentes, más eficaces.