Eliminan el cáncer de mama gracias a las células T de la propia paciente
Esta semana la revista Nature Medicine publica el exitoso caso de una mujer con cáncer de mama metastásico cuyo sistema inmunitario ha sido modificado para eliminar por completo sus células tumorales. Este trabajo supone un posible tratamiento para los últimos estadios del cáncer, etapa en la que las terapias convencionales suelen fracasar.

Una mujer de 49 años con cáncer de mama metastásico HER2 negativo –contra el que no funcionaron distintos regímenes de quimioterapia– se inscribió en un ensayo clínico diseñado para mediar la regresión del tumor en pacientes con cánceres epiteliales que desarrollan metástasis.
Los autores de dicho ensayo, miembros del Instituto Nacional del Cáncer de EE UU, modificaron el sistema inmunitario de la paciente para eliminar por completo sus células cancerígenas. Los resultados se publican esta semana en Nature Medicine.
Según los investigadores, esta es la primera aplicación exitosa de la inmunoterapia con células T –un tipo de glóbulo blanco– para el cáncer de mama en un estadio tardío. “Esto supone un posible tratamiento para la última etapa de los tumores en los que han fracasado todas las terapias convencionales”.
Esta es la primera aplicación exitosa de la inmunoterapia con células T para el cáncer de mama en un estadio tardío
Los enfoques inmunoterapéuticos clínicos más exitosos para tratar el cáncer son el bloqueo de puntos de control inmunitario y la terapia celular adoptiva. En el primero, las células T se activan dentro del cuerpo del paciente a través de anticuerpos inyectados.
En el último, las células T se toman de la sangre o la masa tumoral del paciente, y solo aquellas que reconocen el cáncer se cultivan y posteriormente se vuelven a introducir al paciente.
El éxito de estos enfoques varía mucho entre los tipos de tumor. De hecho, hasta ahora los ensayos clínicos que utilizan inhibidores de puntos de control inmunitario habían demostrado ser ineficaces para tratar el cáncer de mama.
“Necesitamos un nuevo paradigma para la terapia del cáncer”, ha explicado a SINC Steven A. Rosenberg, autor principal del estudio. “Es probable que sean necesarios tratamientos altamente personalizados si queremos progresar en el tratamiento de tumores comunes”.
Para Rosenberg, este concepto de terapias altamente individualizadas (un medicamento único para cada paciente) puede ser lo que se necesita para tratar el cáncer de manera efectiva. “La complejidad del tratamiento asusta a muchos oncólogos que piensan que no es práctico. Sin embargo, al menos tres empresas están trabajando ya para desarrollarlo comercialmente”.
Al menos tres empresas están trabajando ya para desarrollar este tratamiento comercialmente
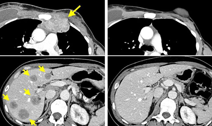
Dos años libre de enfermedad
En este trabajo, los científicos aislaron y reactivaron las células T de esta paciente cuyo cáncer de mama metastásico estaba progresando a pesar de las terapias utilizadas. Estas células T reactivadas eliminaron todas las lesiones metastásicas, dejando libre de enfermedad a la mujer tras dos años desde el tratamiento.
Los autores han realizado una caracterización molecular de esta terapia dirigida, que ayuda a detener el crecimiento y la diseminación del cáncer atacando proteínas o genes específicos.
Tal y como concluyen en el estudio, esto les permite “estimar altas probabilidades de éxito en otros pacientes con cáncer de mama, aunque deberá confirmarse en ensayos clínicos más grandes y controlados”.
