La vida podría existir en un universo 2D, según la física
Los físicos han afirmado tradicionalmente que la vida solo podría formarse en un universo con tres dimensiones de espacio y
Read MoreLos físicos han afirmado tradicionalmente que la vida solo podría formarse en un universo con tres dimensiones de espacio y
Read MoreFue encontrada por la bióloga y presentadora de la BBC Lizzie Daly en aguas del Reino Unido durante la conocida
Read MoreEl pelo blanco, las gafas polarizadas y los esperados cameos en cada una de sus películas son las características más
Read MoreEl proyecto para unir la carretera principal a Jerusalén y la zona sureña con una nueva entrada de la ciudad ha permitido
Read MoreHace 50 años tres astronautas comenzaron su viaje al satélite con un computador de vuelo que palidecería ante cualquier móvil
Read MoreDispone de una infraestructura en la nube para procesar la información.
Read MoreCon financiamiento de Innóvate Perú, se busca aplicar proyecto en empresas de muebles.
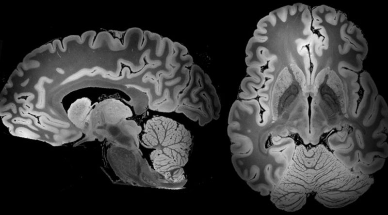
Read MoreUna resonancia magnética de 100 horas ha capturado el más alto nivel de detalle conseguido hasta ahora un cerebro humano al completo
Read MoreUn nuevo estudio habla de estos cuerpos celestes que serían más común de lo que pensamos.
Read MoreLa iniciativa intenta construir el láser más poderoso del mundo y dirigirlo para enviar una sonda a nuestra estrella más
Read MoreUn problema técnico del sistema de lanzamiento ha obligado a volver a aplazar la salida de la misión hasta nueva
Read MoreLa carta P.Bas. 2.43, escrita por un miembro de la élite provincial romana, es 40-50 años más antigua que el
Read MoreUnos científicos japoneses descubrieron a unos gusanos diminutos, pero extremadamente ‘gritones’. De hecho, según explican, estas criaturas son capaces de
Read MoreCientíficos de Glasgow recrean rostros realistas a partir de recuerdos.
Read MoreEn la actualidad hay 1.200 millones de jóvenes de entre 15 y 24 años que representan el 16% de la
Read MoreJornada revolucionaria parisiense, convertida en la fiesta nacional de Francia, el 14 de julio asocia hoy la solemnidad de los
Read MoreUn experto en cine descarta cualquier teoría negacionista al cumplirse 50 años de uno de los momentos más significativos de
Read MoreHoy en día el acceso a Internet nos ha permitido escuchar las pistas musicales con tal naturalidad que a veces
Read MoreEn aras de que las nuevas fibras puedan usarse en prótesis, robots, exoesqueletos e incluso en ropa, tres equipos de
Read MoreLa NASA ha publicado una imagen del rover Curiosity, tomada en la órbita de Marte por una cámara HiRISE de
Read MoreLos afortunados que tienen este gen disfrutan de una protección añadida frente a las dolencias propias de la vejez.
Read More